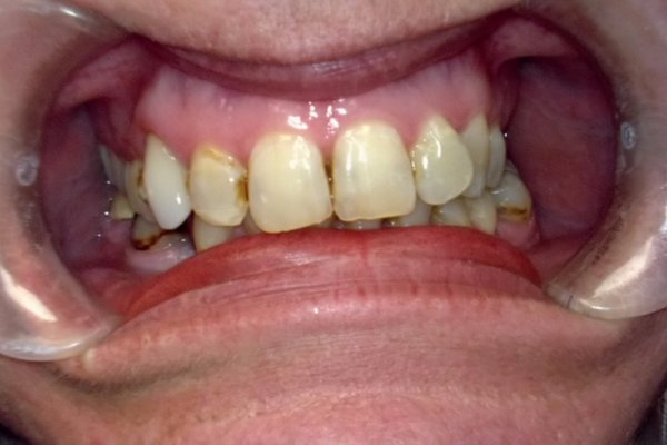
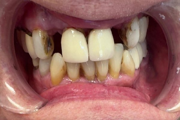
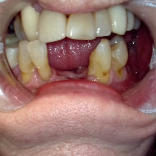
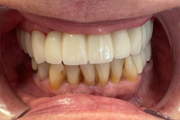
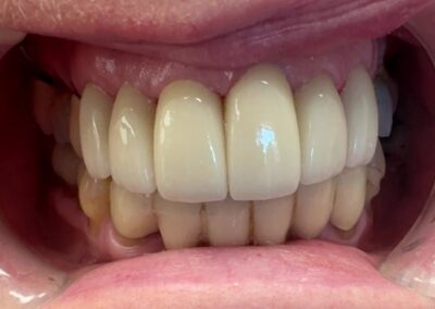
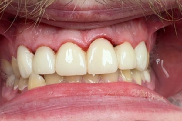
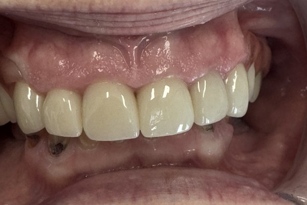
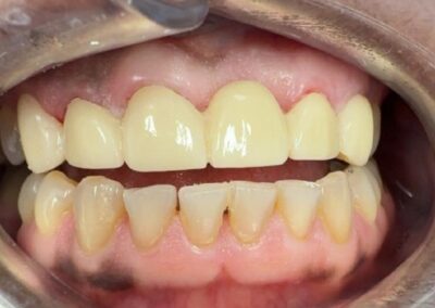
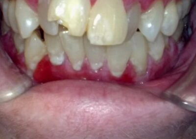
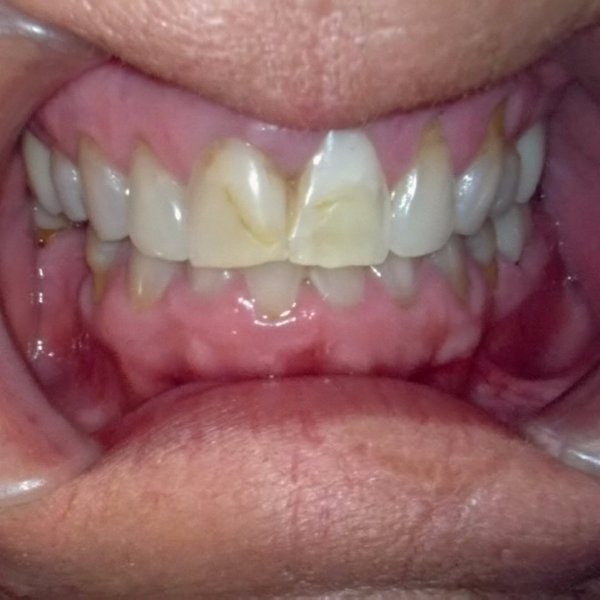
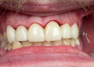
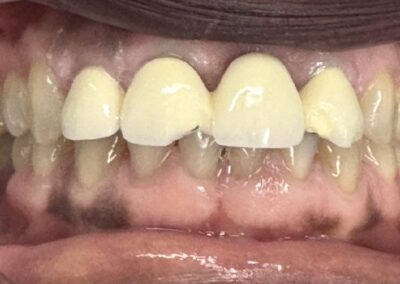
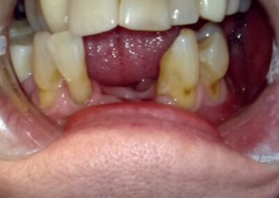
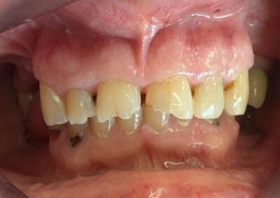
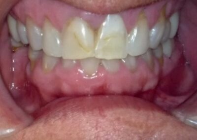
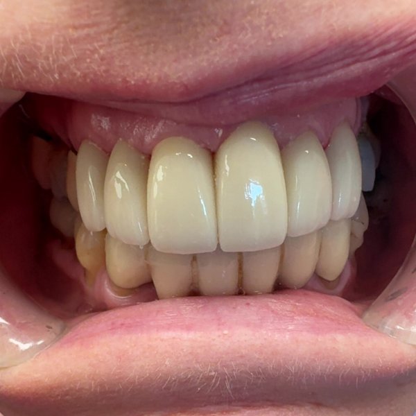
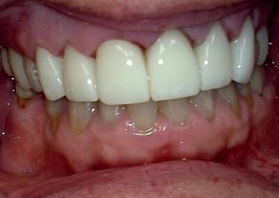
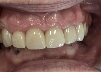
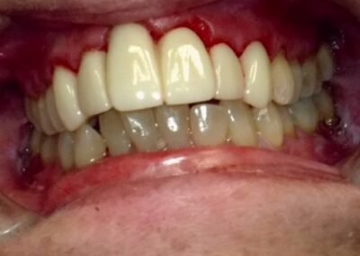
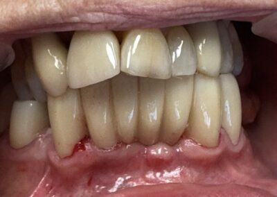
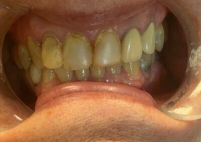
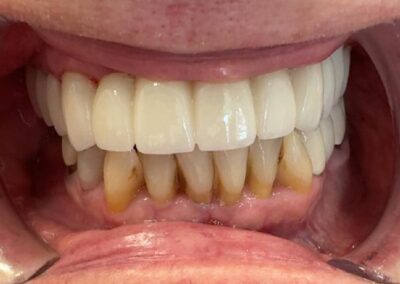
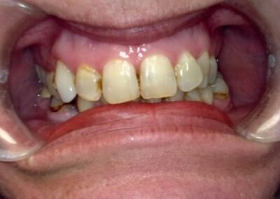
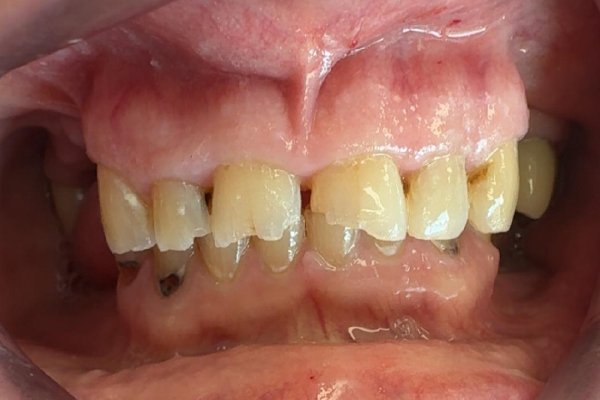
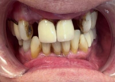
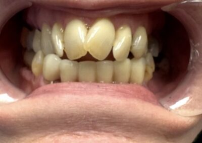
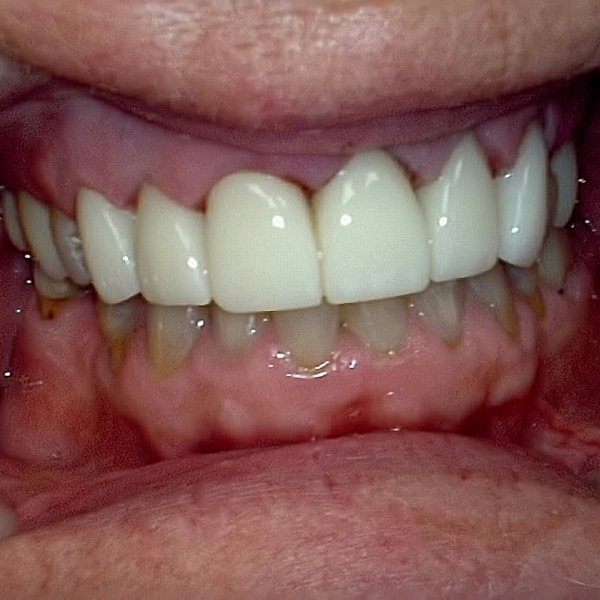
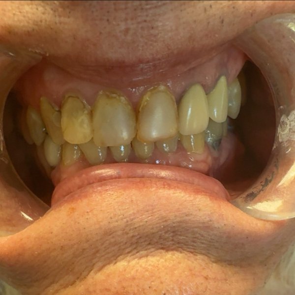
Smile Gallery Before After Before After Before After Before After Before After Before After Before After Before After Before After Before After Before After Before After Before After Before After Before After Before After Before After Before After Before After Before After Before After Before After Before After Before After Before After Before After Before After Before After Before After Before After Before After Before After Before After Before After Before After Before After Before After Before After Before After Before After Before After Before After Before After Before After